荧光显微成像系统
无需暗室、全电动控制、可轻松实现高清拍摄的一体化荧光显微成像系统。同时也是一款拥有创新性的系统:观察活细胞间的信号交流机制、全片高清晰扫描-在掌握整体形态的同时可对不同部位进行细微观察等多样功能。
产品阵容
BZ-X1000 系列是一款一体化荧光显微镜,具有先进的观察功能、全电动操作系统,可实现即时目标采集、高级成像和尖端分析功能。 与传统型号相比,成像速度快5倍,分辨率高3.5倍,有助于提高研究人员的工作效率。 无需暗室,占地面积只有 A3纸大小。 配备单色/彩色可切换的1000万像素CMOS相机,可进行高分辨率观测。 大型电动云台可立即接近所需位置,高速自动对焦和拍摄条件再现功能可确保观察结果不受操作员的影响。 除了无荧光模糊的高分辨率成像和多孔板整个表面的自动批量成像外,还可按设定的时间间隔进行明视野、荧光和相衬的延时成像。 此外,对荧光显微镜至关重要的图像分析量化功能也实现了自动化,具有丰富的分析功能,包括三维分析、动态分析和自动时间序列量化。
产品特性
更快:相同时间内处理样本数量达5倍*
- 搭载高速电动滤光轮
- 双滤光片系统
*与本公司BZ-X800 系列产品的比较
更清晰:1000万像素的高分辨率
- 搭载高精细1000万像素黑白CMOS相机
- 配备高亮度LED
- 支持6CH多色成像
更轻松:提高观测效率的高操作性
视野对准标本的一部分后,只需按下按钮即可自动开始扫描标本。仅需自动识别标本形态并扫描必要需要的位置,快速创建整个标本的导航图像。
可拓展型系统,满足研究发展中的新需求
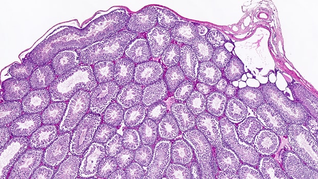
组织成像
组织切片整体的定量分析
- 图像拼接
- 光学切片
- 定量化
- 3D分析
细胞成像
微小结构的高倍率、高分辨率拍摄
- 单细胞
- 3D分析
- 近红外支持
- 定位分析
活细胞成像
相差图像与荧光图像的叠加延时
- 延时拍摄
- 钙成像
- 时序分析
- 视频摄制
培养板实验
使用多孔培养板进行的培养板分析
- 高吞吐量
- 培养板扫描
- 筛选
- 批量拍摄、分析